Bài viết được tư vấn chuyên môn bởi Bác sĩ Trịnh Lê Hồng Minh – Bác sĩ Chẩn đoán hình ảnh – Khoa Chẩn đoán hình ảnh – Bệnh viện Đa khoa Quốc tế Vinmec Central Park. Bác sĩ có nhiều năm kinh nghiệm trong lĩnh vực chẩn đoán hình ảnh.
Khi bị gai xương gót chân, các gân cơ bám vào xương gót, cân gan chân phải chịu áp lực quá mức sẽ dẫn đến viêm mạn tính quanh gân, viêm cân gan chân. Điều này khiến cho cơ thể phải bù trừ bằng cách lắng đọng canxi để bao bọc vị trí tổn thương, tạo nên gai xương gót chân trên X quang.
1. Gai xương gót chân là gì?
Sức nặng của cơ thể đè nén vào vùng gân gan chân trong thời gian dài hay thực hiện động tác bước đi, một chân nhấc lên, một chân làm trụ để nâng đỡ toàn bộ cơ thể thì trọng lượng dồn lên chân sẽ gấp 20 lần trọng lượng bản thân. Tuy nhiên, trọng lượng đó sẽ được giảm nhẹ bởi một lớp mỡ mềm đệm ở dưới gót chân và một bản gân gan chân dày, rộng.
Khi cơ cẳng chân và gân Achille quá tải sẽ làm căng cân cơ vùng gan chân dẫn đến phản ứng viêm quanh gân, thậm chí làm đứt gân cơ. Nếu tiếp tục các động tác vận động thì tình trạng đau trở lại. Vì vậy, để chống lại các chấn thương tái lại, cơ thể tự khắc phục bằng cách bồi phụ một lớp canxi mới bao bọc quanh gân gan chân, từ đó hình thành xương nhỏ ở mặt dưới gót chân, gọi là gai xương gót chân.
Tuy nhiên, không phải gai xương gót nào cũng gây đau, một số người có hình ảnh gai xương gót chân trên X quang nhưng không có triệu chứng đau gót chân hoặc điều trị hết đau nhưng gai xương gót chân vẫn tồn tại. Nhưng lại có người đau ở gót chân mà không có gai xương. Ngoài nguyên nhân trên, gai xương gót chân có thể do một số yếu tố nguy cơ như sau:
- Thừa cân, tuổi tác: Thông thường, những người này có lớp mỡ đệm ở gan chân co lại, thoái triển theo thời gian dẫn đến cơ chế đệm kém hiệu quả gây gai xương gót chân.
- Người thường xuyên luyện tập thể thao nhiều: Ví dụ như vận động viên phải luyện tập, thi đấu hàng ngày, cường độ cao có nguy cơ gai xương gót chân.
- Khiếm khuyết ở chân: Những người có khiếm khuyết ở chân như tật bàn chân hơi sấp, quặp vào trong có nguy cơ gai xương gót chân cao hơn người bình thường.
Đau là triệu chứng thường gặp nhất khi bị gai xương gót chân. Các triệu chứng đau thường như sau:
- Đau lâu nhất khi mới ngủ dậy và thực hiện những bước đi đầu tiên trong ngày, để giảm cảm giác đau bạn cần đi đi lại lại nhiều lần.
- Đau nhức nhối, nhói buốt ở vùng gan chân hoặc xương gót. Đau sẽ tăng lên sau vận động mạnh đột ngột, kéo dài và giảm sau khi nghỉ ngơi.
- Đau có thể khởi phát sau một động tác mạnh đột ngột, tăng lên nhiều hơn khi đi lại trên bề mặt cứng hoặc bạn khiêng vác vật nặng.
- Trường hợp đau nhiều có thể ảnh hưởng tới công việc cũng như sinh hoạt hàng ngày của người bệnh.
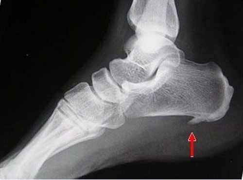
2. Chụp X quang chẩn đoán gai xương gót chân
Khi bị gai xương gót chân, ngoài các triệu chứng lâm sàng, việc chẩn đoán cụ thể là chụp phim X quang vùng gót chân để phát hiện hình ảnh gai xương gót chân trên X quang. Cụ thể:
- Chụp X quang vùng gót chân để xem có phải có gai nhọn nhỏ mọc từ mặt dưới xương gót ở vùng gan chân không.
- Phát hiện những tổn thương khác nguy hiểm hơn cũng gây đau xương gót như viêm nhiễm xương, gãy xương hoặc có thể là u xương gót hay áp xe phần mềm tại chỗ.
- Bên cạnh đó, khi xương gót và các gân cơ bám vào xương gót, cân gan chân phải chịu áp lực quá mức sẽ dẫn đến viêm mạn tính quanh gân, viêm cân gan chân. Điều này khiến cho cơ thể phải bù trừ bằng cách lắng đọng canxi để bao bọc vị trí tổn thương, tạo nên gai xương gót chân trên X quang.
Ngoài phương pháp chụp X quang, chẩn đoán gai xương gót chân có thể dựa trên khám bệnh lâm sàng như dùng ngón cái ấn tại chỗ gót chân đau buốt và yêu cầu bệnh nhân đứng bằng gót chân, nếu bị gai xương gót chân thì đau thường tăng rất nhiều.
3. Điều trị gai xương gót chân
Việc điều trị gai xương gót chân thông thường bằng các phương pháp dùng thuốc, vật lý trị liệu, thay đổi chế độ sinh hoạt, phẫu thuật. Tùy vào mức độ gai xương gót chân, bác sĩ sẽ chỉ định phương pháp điều trị phù hợp cho người bệnh. Cụ thể như sau:
- Điều trị gai xương gót chân bằng thuốc: Thuốc giảm đau kháng viêm để điều trị gai xương gót chân như: Celecoxib, Meloxicam, Diclofenac, Piroxicam. Trường hợp gai xương gót chân nặng, bác sĩ có thể tư vấn việc tiêm Corticoid.
- Thay đổi chế độ sinh hoạt: Người bệnh nên mang giày vừa cỡ chân, đế giày không quá mềm hay quá cứng; tránh mang vật nặng, đứng lâu, đi lại nhiều khi đang đau; thư giãn, mang băng thun, chườm lạnh…; khởi động kĩ, đặc biệt là cổ chân và bàn chân trước khi chơi thể thao.
- Điều trị gai xương gót chân bằng phương pháp vật lý trị liệu: Các phương pháp như siêu âm, sóng ngắn, hồng ngoại, bài tập cho bệnh lý gai xương gót… là các chỉ định thường được sử dụng để điều trị gai xương gót chân.
- Điều trị gai xương gót chân bằng y học cổ truyền kết hợp cùng châm cứu, xoa bóp: Tùy từng trường hợp, việc điều trị có thể sẽ sử dụng các vị thuốc để hành khí hoạt huyết kết hợp vị thuốc, vị trí châm cứu phù hợp.
- Điều trị gai xương gót chân bằng phương pháp phẫu thuật: Phẫu thuật gai xương gót chân khi tình trạng đau kéo dài mà các điều trị biện pháp trên thất bại. Phẫu thuật sẽ cắt lọc mô viêm xơ chai, kết hợp khâu lại điểm bám gân gót hoặc giải ép cân gan chân. Nếu đau gót chân kéo dài, điều trị nội khoa không hiệu quả có thể xét phẫu thuật cắt bỏ gai xương gót nhưng cần cân nhắc hết sức thận trọng.
4. Phòng ngừa gai xương gót chân
Để phòng ngừa gai xương gót chân, mọi người cần thực hiện các phương pháp sau:
- Trước khi lao động, chơi thể thao nên khởi động khớp cổ chân và căng cơ chân và sau đó là thư giãn, thả lỏng chân, mát xa gan chân.
- Nên chạy hoặc đi bộ nhiều lần trong một tuần với quãng đường ngắn, không nên chạy quãng đường dài, gắng sức để thực hiện các vận động hay lao động.
- Có thể tham khảo ý kiến bác sĩ chuyên khoa về kế hoạch luyện tập thích hợp nhằm giúp cơ thể có thời gian dần thích ứng.
- Những người thừa cân, béo phì cần giảm béo bằng chế độ ăn cũng như vận động thích hợp.
- Nếu bị dị tật bàn chân, cần phát hiện sớm, điều trị kịp thời.
Để đặt lịch khám tại viện, Quý khách vui lòng bấm số HOTLINE hoặc đặt lịch trực tiếp TẠI ĐÂY. Tải và đặt lịch khám tự động trên ứng dụng MyVinmec để quản lý, theo dõi lịch và đặt hẹn mọi lúc mọi nơi ngay trên ứng dụng.