Deprecated: Function WP_Dependencies->add_data() được gọi với một tham số đã bị loại bỏ kể từ phiên bản 6.9.0! IE conditional comments are ignored by all supported browsers. in /var/www/html/xemthoitiet.com.vn/wp-includes/functions.php on line 6131
Hình ảnh viêm tai giữa ở người lớn và dấu hiệu dễ nhận biết - xemthoitiet.com.vn

Hình ảnh viêm tai giữa ở người lớn và dấu hiệu dễ nhận biết

Mục lục [Ẩn]

Hình ảnh viêm tai giữa ở người lớn phản ánh rõ mức độ tổn thương tai giữa, giúp nhận diện sớm bệnh lý để có hướng điều trị kịp thời. Không giống như trẻ em, viêm tai giữa ở người lớn thường có diễn tiến âm thầm, dễ bị bỏ qua cho đến khi xuất hiện các triệu chứng nghiêm trọng. Việc hiểu rõ dấu hiệu của bệnh và cách chữa viêm tai giữa hiệu quả sẽ giúp ngăn ngừa nguy cơ biến chứng, bảo vệ sức khỏe thính giác lâu dài.

1. Viêm tai giữa ở người lớn – Căn bệnh thường bị xem nhẹ

Hình ảnh viêm tai giữa ở người lớn thường không được chú ý nhiều, dẫn đến tình trạng bệnh bị bỏ qua cho đến khi xuất hiện các biến chứng nghiêm trọng. Không giống như trẻ em, người lớn khi mắc viêm tai giữa người lớn thường chủ quan, vì triệu chứng có thể không rõ ràng ngay từ đầu. Tuy nhiên, nếu không phát hiện kịp thời, bệnh có thể gây mất thính lực, ảnh hưởng đến chất lượng sống. Vì vậy, việc nhận biết sớm và tìm ra cách chữa viêm tai giữa phù hợp là điều vô cùng quan trọng.

1.1 Viêm tai giữa là gì?

Hình ảnh viêm tai giữa ở người lớn cho thấy đây là tình trạng viêm nhiễm tại khoang tai giữa, do vi khuẩn hoặc virus gây ra. Bệnh có thể xuất hiện sau các đợt cảm cúm, viêm mũi họng hoặc do vệ sinh tai không đúng cách.

Dù tỷ lệ mắc không cao như trẻ nhỏ, nhưng viêm tai giữa người lớn vẫn tiềm ẩn nhiều nguy cơ nếu không được phát hiện và điều trị sớm. Thời gian đầu, bệnh có thể chỉ gây đau tai nhẹ, ù tai hoặc giảm thính lực thoáng qua. Tuy nhiên, nếu không tìm ra cách chữa viêm tai giữa đúng phương pháp, bệnh có thể dẫn đến thủng màng nhĩ hoặc viêm nhiễm lan rộng.

Hơn nữa, các triệu chứng viêm tai giữa ở người lớn thường diễn tiến âm thầm, dễ bị nhầm lẫn với các bệnh tai mũi họng thông thường. Vì vậy, việc nhận diện sớm qua các dấu hiệu và hình ảnh viêm tai giữa ở người lớn giúp ngăn chặn các biến chứng nguy hiểm.

1.2 Vì sao người lớn dễ bỏ qua viêm tai giữa?

Nhìn vào hình ảnh viêm tai giữa ở người lớn, có thể thấy mức độ viêm nhiễm không phải lúc nào cũng nghiêm trọng ngay từ đầu. Chính vì vậy, nhiều người chủ quan và không tìm kiếm cách chữa viêm tai giữa ngay khi xuất hiện triệu chứng đầu tiên.

Một số yếu tố khiến viêm tai giữa người lớn dễ bị bỏ qua bao gồm:

  • Triệu chứng không rõ ràng: Nhiều người nhầm lẫn triệu chứng viêm tai giữa ở người lớn với cảm cúm hoặc viêm họng, dẫn đến việc không điều trị kịp thời.
  • Chủ quan trong chăm sóc tai: Việc tự ý sử dụng thuốc nhỏ tai hoặc làm sạch tai không đúng cách có thể khiến bệnh trở nên nặng hơn.
  • Không có dấu hiệu đau tai rõ rệt: Một số trường hợp viêm tai giữa ở người lớn không gây đau ngay lập tức, mà chỉ xuất hiện cảm giác đầy tai, ù tai thoáng qua.

Chính những yếu tố này khiến bệnh diễn tiến âm thầm và chỉ được phát hiện khi đã có biến chứng. Vì vậy, việc tìm hiểu hình ảnh viêm tai giữa ở người lớn cùng với các dấu hiệu ban đầu là điều cần thiết để chủ động bảo vệ sức khỏe.

Nhìn vào hình ảnh viêm tai giữa ở người lớn, có thể thấy mức độ viêm nhiễm không phải lúc nào cũng nghiêm trọng ngay từ đầu. (Ảnh: Houri Hearing)

1.3 Hậu quả của viêm tai giữa không được điều trị kịp thời

Bệnh viêm tai giữa ở người lớn nếu không được điều trị đúng cách có thể dẫn đến nhiều biến chứng nguy hiểm. Hình ảnh viêm tai giữa ở người lớn trong giai đoạn nặng cho thấy tình trạng viêm nhiễm có thể lan rộng, ảnh hưởng nghiêm trọng đến sức khỏe thính giác.

  • Suy giảm thính lực: Viêm nhiễm kéo dài có thể làm tổn thương màng nhĩ, gây giảm khả năng nghe vĩnh viễn.
  • Biến chứng nguy hiểm: Nếu vi khuẩn lan sang các vùng lân cận, bệnh nhân có thể đối mặt với nguy cơ viêm màng não, áp xe não hoặc viêm xương chũm.
  • Tái phát nhiều lần: Việc không tìm kiếm cách chữa viêm tai giữa phù hợp khiến bệnh dễ tái phát, ảnh hưởng nghiêm trọng đến chất lượng cuộc sống.

Để ngăn chặn các biến chứng này, người bệnh cần theo dõi triệu chứng viêm tai giữa ở người lớn và tìm hiểu kỹ hình ảnh viêm tai giữa ở người lớn để có phương pháp điều trị sớm nhất.

2. Hình ảnh viêm tai giữa ở người lớn qua từng giai đoạn

Hình ảnh viêm tai giữa ở người lớn thay đổi đáng kể theo từng giai đoạn của bệnh, từ những tổn thương nhẹ ban đầu đến các biến chứng nghiêm trọng nếu không được điều trị kịp thời. Việc nhận biết sớm các biểu hiện này qua hình ảnh thực tế giúp bác sĩ đưa ra phác đồ điều trị phù hợp, đồng thời giúp người bệnh hiểu rõ tình trạng của mình.

Tùy theo mức độ tiến triển, viêm tai giữa ở người lớn được chia thành ba giai đoạn chính: viêm tai giữa cấp tính, viêm tai giữa có dịch tiết và viêm tai giữa mạn tính. Mỗi giai đoạn có những dấu hiệu đặc trưng, thể hiện rõ qua hình ảnh nội soi và triệu chứng lâm sàng.

2.1 Viêm tai giữa cấp tính (giai đoạn đầu)

Hình ảnh viêm tai giữa ở người lớn trong giai đoạn đầu thường cho thấy tình trạng viêm đỏ tại tai giữa, kèm theo sự xuất hiện của dịch mủ do phản ứng viêm. Đây là giai đoạn dễ điều trị nhất nếu phát hiện kịp thời.

Dấu hiệu nhận biết qua hình ảnh

  • Tai giữa có màu đỏ, sưng nề rõ rệt do phản ứng viêm.
  • Dịch mủ trắng hoặc vàng xuất hiện trong khoang tai, có thể nhìn thấy qua màng nhĩ.
  • Màng nhĩ bị phồng lên do áp lực từ dịch viêm tích tụ bên trong.

Triệu chứng lâm sàng

  • Cơn đau tai xuất hiện đột ngột, mức độ đau tăng dần, đôi khi lan đến thái dương hoặc hàm.
  • Sốt nhẹ đến trung bình, kèm theo cảm giác mệt mỏi
  • Ù tai, cảm giác đầy tai hoặc bị nghẹt do dịch viêm tích tụ.
  • Ở giai đoạn này, nếu áp dụng đúng cách chữa viêm tai giữa, bệnh có thể được kiểm soát nhanh chóng, hạn chế nguy cơ chuyển sang giai đoạn nặng hơn.
Hình ảnh viêm tai giữa ở người lớn trong giai đoạn đầu. (Ảnh: Britannica)

2.2 Viêm tai giữa có dịch tiết (giai đoạn bán cấp)

Nếu không được điều trị triệt để từ giai đoạn cấp tính, viêm tai giữa ở người lớn có thể chuyển sang giai đoạn bán cấp với sự xuất hiện của dịch tiết kéo dài trong tai giữa. Hình ảnh viêm tai giữa ở người lớn ở giai đoạn này cho thấy màng nhĩ dày lên, có thể bị lõm nhẹ do mất cân bằng áp suất giữa tai giữa và tai ngoài.

Dấu hiệu nhận biết qua hình ảnh

  • Xuất hiện dịch lỏng màu vàng hoặc trong suốt trong khoang tai giữa, không còn tình trạng viêm đỏ mạnh như giai đoạn cấp tính.
  • Màng nhĩ trở nên dày hơn, có dấu hiệu lõm nhẹ vào trong do áp lực giảm trong khoang tai.

Triệu chứng lâm sàng

  • Cảm giác ù tai rõ rệt, có thể nghe thấy tiếng lách tách hoặc cảm giác như có nước trong tai.
  • Thính lực giảm nhẹ, đặc biệt khi giao tiếp trong môi trường ồn ào.
  • Không còn đau tai rõ rệt nhưng có cảm giác khó chịu, đặc biệt khi nuốt hoặc thay đổi tư thế đầu.
  • Nếu không có biện pháp can thiệp thích hợp, viêm tai giữa người lớn có thể tiếp tục tiến triển thành viêm tai giữa mạn tính với nguy cơ biến chứng cao.
Hình ảnh viêm tai giữa ở người lớn có tiết dịch. (Ảnh: Almostadoctor)

2.3 Viêm tai giữa mạn tính (giai đoạn nặng, có nguy cơ biến chứng)

Khi bệnh kéo dài mà không được điều trị đúng cách, hình ảnh viêm tai giữa ở người lớn trong giai đoạn này cho thấy tổn thương nghiêm trọng tại màng nhĩ và các cấu trúc tai giữa. Vi khuẩn có thể lan rộng, gây ra nhiều biến chứng nguy hiểm.

Dấu hiệu nhận biết qua hình ảnh

  • Xuất hiện lỗ thủng trên màng nhĩ, có thể thấy dịch mủ chảy ra ngoài.
  • Dịch mủ có màu vàng đậm hoặc xanh, đôi khi có mùi hôi do nhiễm khuẩn.
  • Tổ chức xơ sẹo hoặc tổn thương tại khoang tai giữa, dấu hiệu của tình trạng viêm nhiễm kéo dài.

Triệu chứng lâm sàng

  • Mất thính lực rõ rệt, gây khó khăn trong giao tiếp hằng ngày.
  • Cảm giác đau tai âm ỉ, đôi khi lan ra thái dương hoặc cổ.
  • Chóng mặt, mất thăng bằng nếu viêm nhiễm lan sang tai trong.

Giai đoạn này đòi hỏi cách chữa viêm tai giữa chuyên sâu, có thể cần can thiệp phẫu thuật để bảo tồn thính lực và ngăn ngừa biến chứng nguy hiểm như viêm màng não hoặc áp xe não.

Hình ảnh viêm tai giữa ở người lớn giai đoạn mạn tính (Ảnh: Researchgate)

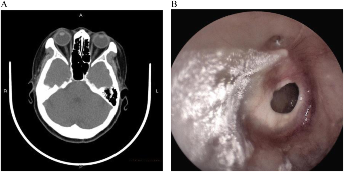
(*) Ghi chú:

(A) Viêm tai giữa mạn tính không hoạt động bên trái.

(B) Viêm tai giữa mạn tính hoạt động bên phải, với màng nhĩ bị viêm và niêm mạc tai giữa ẩm ướt. Hình ảnh nội soi tai sau phẫu thuật vá màng nhĩ (tympanoplasty) sau 3 tháng theo dõi

(C) Viêm tai giữa mạn tính không hoạt động dạng niêm mạc

(D) viêm tai giữa mạn tính hoạt động dạng niêm mạc

3. Các dấu hiệu dễ nhận biết viêm tai giữa ở người lớn

Việc nhận biết sớm các dấu hiệu qua hình ảnh viêm tai giữa ở người lớn sẽ giúp phát hiện bệnh kịp thời và có hướng điều trị phù hợp. Sau đây là một số triệu chứng cần chú ý.

3.1 Dấu hiệu viêm tai giữa ở người lớn giai đoạn đầu dễ bị bỏ qua

Ở giai đoạn đầu, hình ảnh viêm tai giữa ở người lớn thường cho thấy màng nhĩ có hiện tượng sung huyết nhẹ, dịch tai giữa tích tụ nhưng chưa gây viêm nhiễm nghiêm trọng. Vì triệu chứng khá nhẹ nên nhiều người thường không để ý đến sự thay đổi này.

Một số biểu hiện ban đầu bao gồm:

  • Ù tai kéo dài, cảm giác như có nước trong tai.
  • Giảm thính lực nhẹ, đặc biệt khi ở nơi có nhiều tiếng ồn.
  • Ngứa tai, khó chịu nhưng chưa xuất hiện đau nhức rõ rệt.

Chính vì những dấu hiệu này không quá nghiêm trọng nên nhiều người không đến bệnh viện sớm, tạo điều kiện để bệnh phát triển thành viêm tai giữa ở người lớn giai đoạn nặng hơn.

3.2 Dấu hiệu viêm tai giữa ở người lớn giai đoạn tiến triển

Nếu không được phát hiện và điều trị kịp thời, bệnh sẽ bước sang giai đoạn nặng hơn. Hình ảnh viêm tai giữa ở người lớn lúc này có thể thấy rõ tình trạng viêm nhiễm, dịch mủ tích tụ trong khoang tai giữa, thậm chí màng nhĩ bị phồng hoặc thủng.

Các triệu chứng điển hình của giai đoạn này bao gồm:

  • Đau tai dữ dội, cảm giác đau tăng khi cúi đầu hoặc khi nằm nghiêng.
  • Chảy dịch tai, dịch có thể trong suốt, vàng hoặc có mủ xanh, tùy mức độ nhiễm trùng.
  • Sốt nhẹ kèm theo mệt mỏi, giảm khả năng tập trung.

Nếu không có cách chữa viêm tai giữa kịp thời, bệnh có thể chuyển sang thể mạn tính, làm tăng nguy cơ mất thính lực vĩnh viễn.

Hình ảnh viêm tai giữa ở người lớn lúc này có thể thấy rõ tình trạng viêm nhiễm gây sưng. (Ảnh: entsho.com)

3.3 Dấu hiệu viêm tai giữa ở người lớn cảnh báo biến chứng

Trong nhiều trường hợp, viêm tai giữa không chỉ dừng lại ở tai giữa mà có thể lan sang các vùng lân cận, gây ra nhiều biến chứng nguy hiểm. Hình ảnh viêm tai giữa ở người lớn khi có biến chứng thường cho thấy tổn thương nghiêm trọng tại tai giữa, màng nhĩ bị thủng lớn hoặc viêm lan rộng đến tai trong.

Những dấu hiệu cảnh báo nguy hiểm bao gồm:

  • Đau đầu dữ dội, chóng mặt, buồn nôn, có thể là dấu hiệu viêm lan sang tai trong.
  • Sưng tấy vùng sau tai, xuất hiện dấu hiệu viêm xương chũm.
  • Mất thính lực nghiêm trọng hoặc điếc hoàn toàn ở một bên tai nếu tổn thương dây thần kinh thính giác.
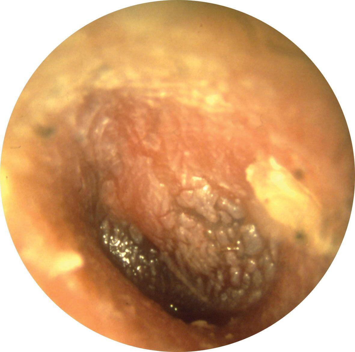
Viêm tai giữa mạn tính có mủ. (Ảnh: BMC Infectious Diseases – BioMed Central)

Nếu nhận thấy các dấu hiệu này, người bệnh cần đi bệnh viện để khám ngay và được bác sĩ tư vấn cách chữa viêm tai giữa hiệu quả, tránh nguy cơ biến chứng nguy hiểm như viêm màng não hoặc áp xe não.

4. Nguyên nhân và yếu tố nguy cơ gây viêm tai giữa ở người lớn

Có nhiều nguyên nhân dẫn đến viêm tai giữa người lớn, trong đó phổ biến nhất là nhiễm trùng tai mũi họng kéo dài, thói quen vệ sinh tai không đúng cách và ảnh hưởng từ môi trường sống. Việc hiểu rõ các yếu tố nguy cơ sẽ giúp người bệnh chủ động hơn trong việc phòng tránh.

4.1 Do nhiễm trùng tai mũi họng kéo dài

Các bệnh viêm nhiễm đường hô hấp như viêm mũi, viêm xoang, viêm họng có thể là nguyên nhân dẫn đến viêm tai giữa ở người lớn. Khi bị viêm nhiễm, vi khuẩn hoặc virus có thể theo vòi nhĩ xâm nhập vào tai giữa, gây viêm nhiễm và tích tụ dịch mủ.

Hình ảnh viêm tai giữa ở người lớn trong trường hợp này cho thấy màng nhĩ sung huyết, dịch mủ vàng hoặc trắng xuất hiện trong khoang tai. Nếu không điều trị kịp thời, bệnh có thể gây thủng màng nhĩ và ảnh hưởng đến thính lực.

4.2 Do thói quen vệ sinh tai không đúng cách

Nhiều người có thói quen dùng tăm bông hoặc vật cứng để ngoáy tai, điều này có thể đẩy ráy tai vào sâu bên trong, tạo điều kiện cho vi khuẩn phát triển. Ngoài ra, sử dụng vật sắc nhọn để lấy ráy tai có thể gây tổn thương màng nhĩ, làm tăng nguy cơ viêm tai giữa người lớn.

Để hạn chế nguy cơ mắc bệnh, các chuyên gia khuyến cáo chỉ nên vệ sinh tai bằng phương pháp an toàn, không tự ý sử dụng các dụng cụ không đảm bảo vệ sinh.

4.3 Tiếp xúc với môi trường ô nhiễm

Môi trường sống và làm việc có thể tác động lớn đến sức khỏe tai giữa. Những người tiếp xúc thường xuyên với khói thuốc lá, khói bụi, hóa chất có nguy cơ mắc viêm tai giữa ở người lớn cao hơn 30 – 50% so với những người khác.

Khói thuốc không chỉ gây kích ứng đường hô hấp mà còn làm suy yếu hệ miễn dịch tại niêm mạc mũi họng, tạo điều kiện cho vi khuẩn tấn công và lan sang tai giữa.

4.4 Yếu tố cơ địa và bệnh lý nền

Những người có hệ miễn dịch yếu, mắc các bệnh mạn tính như tiểu đường, suy giảm miễn dịch có nguy cơ cao bị viêm tai giữa người lớn. Khi hệ miễn dịch suy giảm, vi khuẩn có thể dễ dàng xâm nhập vào tai giữa và gây viêm nhiễm kéo dài.

Ngoài ra, những người có tiền sử viêm tai giữa tái phát nhiều lần cũng cần đặc biệt chú ý. Nếu không có cách chữa viêm tai giữa phù hợp, bệnh có thể trở thành mạn tính, làm suy giảm thính lực vĩnh viễn.

5. Viêm tai giữa ở người lớn có chữa khỏi hoàn toàn không?

Nhiều bệnh nhân thắc mắc liệu viêm tai giữa ở người lớn có chữa khỏi hoàn toàn hay không. Trên thực tế, tiên lượng bệnh phụ thuộc vào mức độ tổn thương của tai giữa và phương pháp điều trị.

Hình ảnh viêm tai giữa ở người lớn cho thấy nếu phát hiện sớm, khoang tai giữa chỉ có biểu hiện sưng đỏ, dịch viêm chưa nhiều và màng nhĩ vẫn còn nguyên vẹn. Trong trường hợp này, bệnh có thể được kiểm soát hiệu quả bằng phương pháp nội khoa, giúp hồi phục hoàn toàn mà không để lại di chứng. Tuy nhiên, nếu tình trạng nhiễm trùng kéo dài, dịch mủ ứ đọng nhiều hoặc màng nhĩ đã bị thủng, người bệnh có thể cần đến các biện pháp can thiệp y tế để cải thiện chức năng tai.

5.1 Tiên lượng khả năng chữa khỏi bệnh viêm tai giữa ở người lớn giai đoạn đầu

Ở giai đoạn đầu, hình ảnh viêm tai giữa ở người lớn thường cho thấy màng nhĩ có màu đỏ nhẹ, tai giữa xuất hiện dịch lỏng nhưng chưa có dấu hiệu tổn thương nghiêm trọng. Đây là thời điểm vàng để điều trị bệnh dứt điểm mà không gây ảnh hưởng lâu dài đến thính lực.

Phác đồ điều trị chủ yếu bao gồm:

  • Sử dụng thuốc kháng sinh, kháng viêm: Nếu bệnh do vi khuẩn gây ra, bác sĩ sẽ kê đơn kháng sinh đường uống hoặc thuốc nhỏ tai để kiểm soát nhiễm trùng. Trong trường hợp viêm do virus, người bệnh có thể dùng thuốc giảm đau, hạ sốt và chống viêm để kiểm soát triệu chứng.
  • Vệ sinh tai đúng cách: Việc làm sạch tai đúng phương pháp giúp loại bỏ dịch viêm và ngăn ngừa vi khuẩn phát triển. Lưu ý không tự ý dùng tăm bông hoặc các dụng cụ sắc nhọn để ngoáy tai vì có thể làm tổn thương màng nhĩ.
  • Tăng cường hệ miễn dịch: Chế độ dinh dưỡng hợp lý, giàu vitamin C, omega-3 và kẽm có thể hỗ trợ cơ thể chống lại nhiễm trùng, đẩy nhanh quá trình hồi phục.

Nếu tuân thủ phác đồ điều trị, người bệnh có thể khỏi hoàn toàn trong khoảng 7 – 10 ngày, mà không lo biến chứng nguy hiểm. Vì vậy, khi nhận thấy triệu chứng viêm tai giữa ở người lớn như ù tai, đau tai hoặc suy giảm thính lực nhẹ, người bệnh cần đến bệnh viện để có hướng xử lý kịp thời, tránh việc tự ý chữa viêm tai giữa tại nhà.

5.2 Trường hợp bệnh viêm tai giữa ở người lớn trở nặng có thể cần can thiệp y tế

Khi viêm tai giữa tiến triển sang giai đoạn nặng, hình ảnh viêm tai giữa ở người lớn sẽ cho thấy những tổn thương nghiêm trọng hơn như màng nhĩ thủng, dịch mủ đặc có màu vàng hoặc xanh và viêm lan rộng sang các cấu trúc xung quanh. Đây là dấu hiệu cảnh báo bệnh đã chuyển sang thể mạn tính hoặc có nguy cơ biến chứng.

Lúc này, phương pháp điều trị nội khoa có thể không còn hiệu quả. Bác sĩ có thể chỉ định:

  • Chọc hút dịch tai giữa: Nếu dịch mủ ứ đọng quá nhiều gây áp lực lên màng nhĩ, bác sĩ sẽ tiến hành hút dịch để giúp tai thông thoáng và giảm viêm.
  • Đặt ống thông khí: Trong trường hợp viêm tai giữa tái phát nhiều lần hoặc có dịch tiết kéo dài, bệnh nhân có thể cần đặt ống thông khí để dẫn lưu dịch ra ngoài, ngăn ngừa tái nhiễm trùng.
  • Phẫu thuật vá màng nhĩ: Nếu màng nhĩ bị thủng lớn hoặc không tự liền sau điều trị nội khoa, phẫu thuật vá màng nhĩ có thể được thực hiện nhằm khôi phục khả năng nghe và bảo vệ tai khỏi viêm nhiễm tái phát.

Việc điều trị bằng phương pháp can thiệp y tế giúp ngăn chặn các biến chứng nguy hiểm như viêm tai xương chũm, viêm màng não hoặc suy giảm thính lực vĩnh viễn. Chính vì vậy, khi nhận thấy các triệu chứng viêm tai giữa ở người lớn trở nên nghiêm trọng, người bệnh cần đến cơ sở y tế để được thăm khám kịp thời.

Viêm tai giữa ở người lớn hoàn toàn có thể chữa khỏi nếu được phát hiện sớm và điều trị đúng cách. Hình ảnh viêm tai giữa ở người lớn cho thấy nếu bệnh chỉ mới ở giai đoạn đầu, người bệnh có thể phục hồi hoàn toàn mà không cần đến biện pháp can thiệp xâm lấn. Tuy nhiên, nếu bệnh tiến triển nặng, cần áp dụng các phương pháp y tế chuyên sâu để bảo vệ chức năng tai và tránh nguy cơ biến chứng.

Việc chủ động thăm khám khi xuất hiện triệu chứng viêm tai giữa ở người lớn là cách tốt nhất để đảm bảo điều trị hiệu quả và duy trì thính lực khỏe mạnh. Đồng thời, cách chữa viêm tai giữa hiệu quả nhất vẫn là phòng bệnh bằng cách vệ sinh tai đúng cách, tăng cường hệ miễn dịch và bảo vệ tai khỏi các tác nhân gây hại từ môi trường.

6. Vì sao nên khám và điều trị viêm tai giữa tại Bệnh viện FV?

Việc lựa chọn một cơ sở y tế uy tín, có chuyên môn cao là yếu tố quan trọng giúp kiểm soát bệnh hiệu quả và ngăn ngừa tái phát.

Bệnh viện FV là một trong những địa chỉ hàng đầu trong điều trị viêm tai giữa ở người lớn, với hệ thống trang thiết bị hiện đại, đội ngũ chuyên gia giàu kinh nghiệm và phác đồ điều trị đạt chuẩn quốc tế. Nhờ đó, bệnh nhân có thể yên tâm về độ chính xác trong chẩn đoán, hiệu quả điều trị cũng như khả năng phục hồi nhanh chóng.

6.1 Chẩn đoán chính xác, hình ảnh nội soi rõ nét

Một trong những yếu tố quyết định đến hiệu quả điều trị viêm tai giữa người lớn là chẩn đoán sớm và chính xác. Bệnh viện FV sở hữu hệ thống nội soi tai mũi họng hiện đại, giúp bác sĩ dễ dàng phát hiện những tổn thương dù là nhỏ nhất trong tai giữa.

Thông qua hình ảnh nội soi có độ phân giải cao, bác sĩ có thể đánh giá chính xác mức độ viêm nhiễm, tình trạng màng nhĩ cũng như sự hiện diện của dịch mủ trong tai giữa. Điều này đặc biệt quan trọng đối với những trường hợp triệu chứng viêm tai giữa ở người lớn không rõ ràng hoặc bệnh đã bước vào giai đoạn mạn tính.

Hơn nữa, việc sử dụng hình ảnh viêm tai giữa ở người lớn từ nội soi giúp bệnh nhân hiểu rõ hơn về tình trạng bệnh của mình, từ đó phối hợp tốt với bác sĩ trong quá trình điều trị.

6.2 Điều trị theo phác đồ quốc tế, hạn chế tối đa biến chứng

Tại Bệnh viện FV, quá trình điều trị viêm tai giữa ở người lớn được thực hiện theo các phác đồ cập nhật mới nhất của Tổ chức Y tế Thế giới (WHO) và Hiệp hội Tai Mũi Họng Hoa Kỳ (AAO-HNS).

Các phương pháp điều trị được cá nhân hóa theo tình trạng cụ thể của từng bệnh nhân, bao gồm:

  • Điều trị nội khoa: Sử dụng kháng sinh, thuốc kháng viêm, thuốc giảm đau theo đúng chỉ định để kiểm soát nhiễm trùng và ngăn ngừa biến chứng.
  • Hút dịch tai giữa: Đối với trường hợp có dịch mủ kéo dài, bác sĩ sẽ thực hiện chọc hút dịch giúp tai giữa thông thoáng và giảm áp lực lên màng nhĩ.
  • Đặt ống thông khí: Áp dụng cho bệnh nhân bị viêm tai giữa tái phát nhiều lần hoặc có dịch tiết kéo dài. Phương pháp này giúp cân bằng áp suất trong tai giữa và ngăn chặn sự tích tụ dịch mủ.
  • Phẫu thuật vá màng nhĩ: Nếu hình ảnh viêm tai giữa ở người lớn cho thấy màng nhĩ bị thủng lớn và không thể tự lành, phẫu thuật sẽ được chỉ định để khôi phục chức năng tai.

Nhờ vào quy trình điều trị khoa học và trang thiết bị tiên tiến, Bệnh viện FV giúp bệnh nhân nhanh chóng hồi phục, giảm thiểu tối đa nguy cơ tái phát cũng như các biến chứng nguy hiểm.

Tiến sĩ, Bác sĩ Võ Công Minh, Trưởng khoa Tai Mũi Họng tại Bệnh viện FV nhấn mạnh tầm quan trọng của việc điều trị cẩn trọng và tận tâm trong từng ca bệnh. Ông chia sẻ: “Tôi tự nhủ luôn phải cẩn trọng và dồn trọn tâm huyết trong từng ca bệnh – dù lớn hay nhỏ, để mỗi ngày khi bước ra khỏi phòng khám, tôi an tâm rằng mình đã làm những điều tốt nhất cho bệnh nhân.”

Đặc biệt, bác sĩ Võ Công Minh luôn ưu tiên các phương pháp điều trị ít xâm lấn nhằm giảm đau và thúc đẩy quá trình hồi phục cho bệnh nhân. Bác sĩ Minh cho biết:​ “Tôi luôn ưu tiên các phương án điều trị ít xâm lấn nhất có thể để người bệnh ít đau, nhanh lành vết thương, đảm bảo các chức năng sinh lý bình thường sau điều trị bệnh.”

TS.BS Võ Công Minh, Trưởng khoa Tai Mũi Họng, Bệnh viện FV đang thực hiện phẫu thuật. (Ảnh: Bệnh vịện FV)

6.3 Đội ngũ chuyên gia giàu kinh nghiệm

Yếu tố then chốt đảm bảo hiệu quả điều trị viêm tai giữa ở người lớn tại Bệnh viện FV chính là đội ngũ bác sĩ chuyên khoa tai mũi họng với nhiều năm kinh nghiệm.

Các bác sĩ tại đây không chỉ có chuyên môn sâu rộng mà còn thường xuyên cập nhật những phương pháp điều trị tiên tiến trên thế giới. Đặc biệt, bệnh viện có sự hợp tác chặt chẽ với các chuyên gia nước ngoài, giúp nâng cao chất lượng khám chữa bệnh và mang đến những giải pháp điều trị tối ưu nhất.

Bên cạnh đó, bệnh nhân luôn được tư vấn tận tình về cách chữa viêm tai giữa, hướng dẫn chăm sóc tai đúng cách để tránh tình trạng tái phát. Sự tận tâm của đội ngũ y bác sĩ tại Bệnh viện FV chính là một trong những lý do giúp nơi đây trở thành địa chỉ đáng tin cậy trong điều trị các bệnh lý tai mũi họng.

6.4 Hỗ trợ tư vấn dinh dưỡng và chăm sóc sau điều trị

Việc điều trị viêm tai giữa không chỉ dừng lại ở việc dùng thuốc hay can thiệp y tế, mà còn cần một chế độ chăm sóc toàn diện để tăng tốc độ phục hồi. Bệnh viện FV đặc biệt chú trọng đến quá trình này thông qua các chương trình tư vấn dinh dưỡng và hướng dẫn chăm sóc sau điều trị.

  • Dinh dưỡng hợp lý: Một chế độ ăn giàu vitamin A, C, D và kẽm giúp tăng cường hệ miễn dịch, hỗ trợ cơ thể chống lại nhiễm trùng. Các chuyên gia tại FV sẽ hướng dẫn bệnh nhân lựa chọn thực phẩm phù hợp nhằm cải thiện sức khỏe tai.
  • Chăm sóc tai đúng cách: Người bệnh sẽ được hướng dẫn cách vệ sinh tai an toàn, tránh những thói quen gây tổn thương như dùng tăm bông ngoáy tai hay tiếp xúc với môi trường ô nhiễm.
  • Theo dõi và tái khám định kỳ: Sau khi điều trị, bệnh nhân sẽ được hẹn lịch tái khám để đánh giá mức độ hồi phục. Nếu cần, bác sĩ có thể chỉ định thực hiện thêm các xét nghiệm hoặc nội soi để đảm bảo viêm nhiễm đã được kiểm soát hoàn toàn.

Sự kết hợp giữa phác đồ điều trị chuẩn quốc tế và chế độ chăm sóc sau điều trị chuyên sâu giúp bệnh nhân tại Bệnh viện FV nhanh chóng lấy lại sức khỏe tai và hạn chế nguy cơ tái phát bệnh.

7. Kết luận: Hãy bảo vệ thính giác của bạn ngay hôm nay!

Khi đối mặt với các triệu chứng viêm tai giữa ở người lớn, việc lựa chọn cơ sở y tế có chuyên môn cao là điều vô cùng quan trọng. Bệnh viện FV với hệ thống chẩn đoán hiện đại, đội ngũ bác sĩ giàu kinh nghiệm và phương pháp điều trị tiên tiến chính là lựa chọn lý tưởng để kiểm soát bệnh hiệu quả.

Đặc biệt, thông qua hình ảnh viêm tai giữa ở người lớn được nội soi tại FV, bệnh nhân có thể hiểu rõ về tình trạng bệnh của mình, từ đó phối hợp tốt hơn trong quá trình điều trị. Nếu bạn hoặc người thân đang gặp vấn đề về tai giữa, hãy đến ngay Bệnh viện FV để được thăm khám và điều trị kịp thời, bảo vệ thính lực một cách tối ưu nhất.

Thông tin Bệnh viện FV:

  • Số điện thoại: (028) 35 11 33 33
  • Website: https://www.fvhospital.com/vi/

Địa chỉ Bệnh viện FV: 6 Nguyễn Lương Bằng, Nam Sài Gòn (Phú Mỹ Hưng), Q7, Tp HCM